An international consensus statement involving experts from 14 countries outlines best practices for computed tomography (CT) imaging in patients experiencing residual lung abnormalities following COVID-19. The guidance addresses when CT is appropriate, how images should be acquired, and which terminology should be used in reporting findings. Four expert pulmonologists reviewed the recommendations to ensure alignment with clinical needs.
"These statements recommend employing terms from the Fleischner Society Glossary to describe CT findings consistently and precisely, avoiding the use of 'interstitial lung abnormality (ILA),' which refers to a different clinical context," said Anna Rita Larici, M.D., an associate professor of radiology at Catholic University of the Sacred Heart of Rome and chief of the Chest Imaging Unit at Advanced Radiology Center of Agostino Gemelli University Polyclinic Foundation in Rome, Italy.
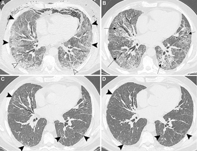
"We have coined and recommended the term 'post–COVID-19 residual lung abnormality' to prevent any misleading term when describing CT lung abnormalities following COVID-19 pneumonia," said Dr. Larici.

When to Perform Post-COVID CT
The consensus recommends chest CT in patients with:
- Persistent or worsening respiratory symptoms three months after infection, lasting at least two months, with no alternative explanation.
- Three to six months after discharge for those hospitalized with moderate to severe COVID-19, due to the high prevalence of residual lung abnormalities.
Follow-up frequency should be based on the extent of initial lung changes, temporal evolution, and pulmonary function results.
Low-Dose Protocols and ALARA Compliance
Radiologists are advised to follow the ALARA principle (as low as reasonably achievable) when performing serial CTs, using low-dose protocols within a range of 1 to 3 millisieverts.
"Radiologists play a crucial role in adhering to ALARA principles by optimizing CT protocols—using appropriate low-dose techniques during follow-ups—while maintaining the image quality necessary for accurate assessment," Dr. Larici said. "This is especially important when serial imaging of these patients is needed, so that we minimize radiation exposure without compromising diagnostic accuracy."
Long COVID Imaging Challenges
Post–COVID-19 condition, or “long COVID” affects approximately 6% of all COVID-19 survivors. Among hospitalized patients for acute COVID-19:
- 50% show chest CT abnormalities at follow-up.
- 25% present with restrictive lung function deficits after four months.
Radiologists face challenges distinguishing post–COVID residual lung abnormalities from interstitial lung disease (ILD) and ILA, which have different prognostic paths. Post–COVID changes tend to stabilize, while ILD and ILA can progress.
"Follow-up imaging plays a key role in assessing these residual changes and guiding clinical care, but it should be performed judiciously. Adherence to established recommendations helps ensure that patients receive follow-up imaging and care only when clinically indicated," Dr. Larici said.
International Collaboration for Better Outcomes
Dr. Larici emphasized that this consensus reflects a collective, evidence-based effort to harmonize care for patients recovering from COVID-19 pneumonia.
"It reflects a commitment to advancing patient care worldwide through shared knowledge, research and consensus," she said.